Skip to main content
Skip to navigation
Western College of Veterinary Medicine
NeuroVet
Menu
Lesion Localization
Brain
Overview
Forebrain
Brainstem
Vestibular system
Cerebellum
Cranial nerves
Horner's syndrome
Spinal Cord
C1 - C5
C6 - T2
T3 - L3
L4 - S2
Cauda equina
neuromuscular
Peripheral nerve
Neuromuscular junction
Muscle disease
Neurologic Examination
About
Cerebellum
On this page
Cerebellar lesion tutorial
Cerebellum images
Cerebellum case videos
Top
Contents
Cerebellar lesion tutorial
Cerebellum images
Cerebellum case videos
Top
Cerebellar lesion tutorial
Cerebellum images
×
Use the slider to scroll through the brain MRI - cerebellum is highlighted in green
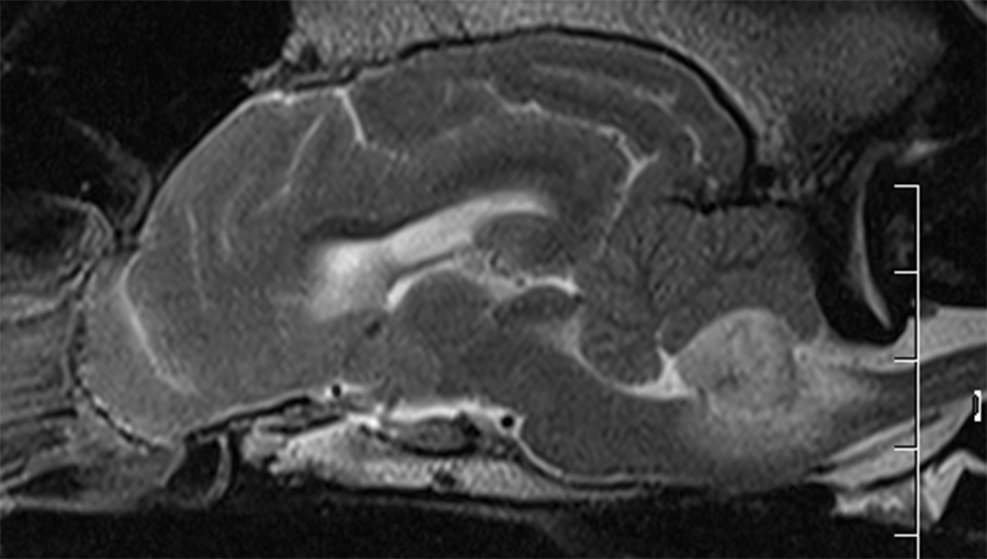
Normal brain - sagittal view
Cerebellar infarct
Normal cerebellum - transverse view
Cerebellar mass
Cerebellum case videos